محمد الرخا - دبي - الأربعاء 3 أبريل 2024 02:22 صباحاً - التقط أقوى جهاز تصوير بالرنين المغناطيسي في العالم، بالقرب من باريس، صوره الأولى للدماغ البشري، ويُتوقَع أن يتيح فهماً أكبر لوظائفه وبعض الأمراض التنكسية العصبية أو النفسية.
وفي عام 2021، قرر باحثون من هيئة الطاقة الذرية والطاقات البديلة، الواقعة على هضبة ساكليه في منطقة إيسون تجربة الآلة على نبات القرع، قبل أن تعطي السلطات الصحية الضوء الأخضر قبل مدة لإجراء فحوص على البشر.
وطوال الأشهر الأخيرة، استلقى نحو عشرين متطوعاً سليماً داخل فتحة الجهاز الأسطواني الذي التقط الصور لأدمغتهم.
صور طبية بوساطة جهاز الرنين المغناطيسي الحديثأ ف ب
واعتبر الرئيس الفرنسي إيمانويل ماكرون عبر شبكة "إكس" أن هذا الجهاز "إنجاز كبير وأمل كبير لدراسة صحتنا"، واصفاً إياه بأنه "فخر فرنسي".
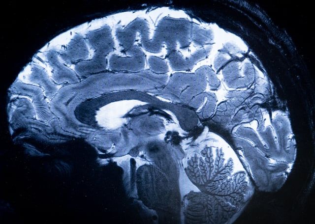
ونقلت وكالة "فرانس برس" عن الفيزيائي والباحث في هيئة الطاقة الذرية والطاقات البديلة ألكسندر فينيو قوله: "لدينا مستوى من الدقة لم نصل إليه من قبل".
ويصل المجال المغناطيسي لهذا المغناطيس الاستثنائي إلى 11,7 تيسلا، مما يتيح الحصول على صور أكثر دقة بعشر مرات من تلك المنتجة حاليا في المستشفيات، حيث لا تتجاوز قوة التصوير بالرنين المغناطيسي 3 تيسلا.
وعلى شاشة ألكسندر فينيو تتم مقارنة الصور المقطعية للدماغ بما كان ليوفره تصوير بالرنين المغناطيسي بقوة 3 أو 7 تيسلا.
وقال فينيو "باستخدام هذا الجهاز، يمكننا رؤية الأوعية الصغيرة جداً التي تغذي القشرة الدماغية، أو تفاصيل المخيخ التي كانت غير ظاهرة تقريباً حتى الآن".
ولاحظت وزيرة الأبحاث سيلفي ريتايو في تصريح لوكالة "فرانس برس" أن "دقة صور الجهاز مذهلة". وشددت على أن "هذه السابقة العالمية ستُمكّن من اكتشاف أمراض الدماغ وعلاجها بشكل أفضل".

صور ملتقطة بوساطة الجهاز الجديدأ ف ب
"إيزولد"
وهذه الآلة ذات الشكل الأسطواني التي يبلغ طولها خمسة أمتار وكذلك ارتفاعها، تحوي مغناطيساً يزن 132 طناً، وتتكون من بكرة يسري فيها تيار كهربائي بقوة 1500 أمبير، ولها فتحة تبلغ 90 سنتيمتراً لاستيعاب جسم الإنسان.
واستلزم تحقيق هذا الإنجاز التقني الذي جاء نتيجة شراكة فرنسية ألمانية أكثر من 20 عاماً من البحوث.
وأطلقت على جهاز التصوير بالرنين المغناطيسي تسمية "إيزولد"، وهو من أبرز إنجازات مركز "نوروسبين" لأبحاث تصوير الدماغ التابع لهيئة الطاقة الذرية والطاقات البديلة والذي يرأسه عالم الأعصاب ستانيسلاس دوهين.
وهناك مشروعان منافسان في الولايات المتحدة وكوريا الجنوبية، لكنهما لم يصلا بعد إلى مرحلة التصوير على البشر.
ومن أهداف جهاز التصوير بالرنين المغناطيسي المتقدم هذا، تكوين فكرة أفضل عن تكوين الدماغ والمناطق التي تنشط فيه عند تنفيذ بعض المهام.
ويعرف العلماء أصلاً أن الأنواع المختلفة من الصور التي يستطيع الإنسان التعرف عليها (الوجوه، الأمكنة، الكلمات، وما إلى ذلك) تُنشّط مناطق مختلفة من القشرة الدماغية.
وشرح مدير الأبحاث في هيئة الطاقة الذرية والطاقات البديلة المدير العلمي للمشروع نيكولا بولان أن التصوير بالرنين المغناطيسي بقوة 11,7 تيسلا "يتيح تكوين فكرة أفضل عن العلاقة بين بنية الدماغ ووظائفه المعرفية، كقراءة كتاب أو إجراء حساب ذهني على سبيل المثال".

فريق طبي يحضر مريضا للتصوير بوساطة الجهاز الجديدأ ف ب
تشخيص مبكر
لكنّ الجهاز سيساهم أيضاً في توضيح الآليات في الأمراض التنكسية العصبية (مرض باركنسون أو الزهايمر) أو في الحالات النفسية (الاكتئاب، والاضطراب الثنائي القطب، والفصام، وغيرها).
وقالت مديرة الأبحاث الأساسية في الهيئة آنّا إيزابيل إتيانفر "نحن نعلم مثلاً أن لمنطقة معينة هي الحصين دوراً في مرض الزهايمر، لذلك نأمل في أن نتمكن من فهم تنظيم وعمل الخلايا في هذا الجزء من القشرة الدماغية"،
ويأمل الباحثون أيضاً في أن يتمكنوا من رسم خريطة لتوزيع بعض الأدوية، مثل الليثيوم المستخدم في علاج الاضطراب الثنائي القطب.
وسيتيح المجال المغناطيسي العالي جداً للآلة بالفعل، تحديد هياكل الدماغ التي يستهدفها الليثيوم لدى المرضى ورصد المستجيبين الجيدين وأولئك الأقل استجابة للعلاج.
أخبار ذات صلة
دراسة تؤكد أهمية فحص الرنين المغناطيسي لكشف سرطان البروستات
وأضافت إتيانفر "إذا فهمنا هذه الأمراض الشديدة التأثير بشكل أفضل، يُفترض أن نصبح قادرين على إجراء تشخيص مبكر، وبالتالي علاجها بشكل أفضل".
وسيبقى "إيزولد" سنوات عدة مكرّساً للأبحاث الأساسية. وأكّد نيكولا بولان أن "هدف الجهاز ليس أن يصبح أداة تشخيصية سريرية، ولكننا نأمل في أن تستخدَم المستشفيات المعرفة المكتسبة".
