محمد الرخا - دبي - الاثنين 15 أبريل 2024 10:10 مساءً - أصيب أطباء بالذهول بعد إجرائهم عملية جراحية لطفلة تبلغ من العمر 8 سنوات؛ بعد أن اكتشفوا وجود كتلة كبيرة في دماغها.
وخلال العملية وفقا لموقع ميرور، تبين للأطباء أن الكتلة عبارة عن خصلة طويلة من الشعر يبلغ طولها 3 أقدام، وتم تعريفها باسم T.A.
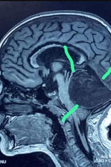
مقطع لدماغ الطفلة صورة لكتلة الشعر داخل دماغ الطفلة
وأجرى فريق من الأطباء تحت إشراف الدكتور ميتاليب ماميتوف عملية جراحية للطفلة في مستشفى جال في بيشكيك بقيرغيزستان.
ونشر الموقع صورا للأطباء بعد العملية وهم يمسكون بخصلة الشعر، وبحسب ما ورد يعتقد الطاقم الطبي أن كتلة الشعر نمت على مدى عمر الفتاة.

الأطباء يمسكون خصلة الشعر ميرور
وقالت وزارة الصحة القيرغيزية في بيان: "كان الورم يحتوي على خصلة من الشعر نمت على ما يبدو طوال حياة الطفلة قبل دخولها المستشفى، وكان للشعر جذر في الجزء السفلي من البطين وربما كان ناجما عن شذوذ في نمو ما قبل الولادة، وإن استمرار نمو الشعر من شأنه أن يشكل تهديدا لصحة المريضة".

طبيب يمسك خصلة الشعر ميرور
