محمد الرخا - دبي - الخميس 2 مايو 2024 10:06 صباحاً - في كشف طبي استثنائي، كان فقدان المرأة المفاجئ للبصر في إحدى عينيها بمثابة مؤشر أوّلي لسرطان الرئة غير المكتشف والمنتشر في أنحاء الجسم؛ ما يتحدى الفهم الطبي التقليدي.
وبحسب تقرير نشره موقع "livescience"، قدمت المريضة، وهي امرأة تبلغ من العمر 32 عامًا دون أي مخاوف صحية سابقة أو تاريخ للتدخين، إلى المتخصصين الطبيين، بعد أن عانت من ضعف البصر في عينها اليمنى، إلى جانب ومضات متقطعة من الضوء في عينها اليسرى امتدت 20 يوما تقريبًا.
وقد كشفت التقييمات الأوّلية في المستشفى عن هياكل عينية طبيعية ظاهريًّا، خالية من الألم أو الاحمرار، لكن الفحص الدقيق كشف عن وجود كتلة كبيرة بيضاء مائلة إلى الصفرة في الجزء الخلفي من عينها اليمنى، مصحوبة بتراكم السوائل تحت الشبكية؛ ما أدى إلى انفصالها. كما تم اكتشاف آفة أصغر في عينها اليسرى، وإن كانت شبكية العين سليمة.
أخبار ذات صلة
ابتكار طبي جديد يحدث نقلة في علاج سرطان الرئة
صورة للعين تظهر الآفة السرطانية وانفصال الشبكيةElsevier
وفي محاولة لفك السبب الكامن وراء إصابتها، أجرى الخبراء الطبيون تحليلًا شاملاً للدم، الذي استبعد الالتهابات الفيروسية، أو اضطرابات الدم، أو فيروس نقص المناعة البشرية، أو أمراض المناعة الذاتية كعوامل مساهمة.
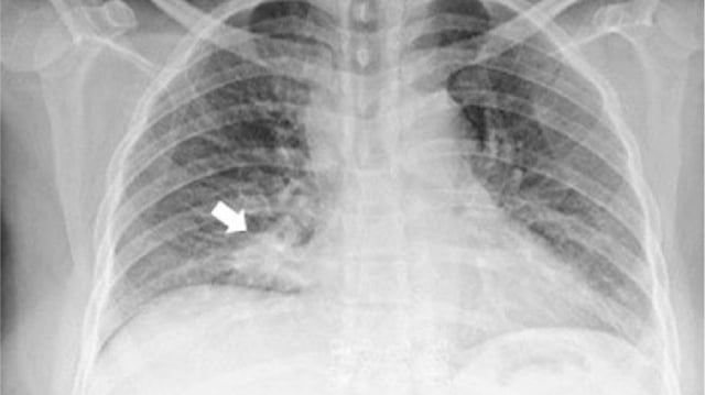
بعد ذلك، جاء الكشف، عن طريق الأشعة السينية للصدر والأشعة الشاملة للجسم، عن وجود كتلة خبيثة مختبئة في المنطقة السفلية من رئتها اليمنى، مع محلاق من الأنسجة السرطانية تمتد إلى أعضاء مختلفة، بما في ذلك المشيمية العينية.

كتلة خبيثة في المنطقة السفلية من رئة المريضة Elsevier
أخبار ذات صلة
تقنية واعدة للكشف المبكر عن سرطان الرئة
حالة فريدة
هذا النوع من السرطان، والمُسمى السرطان النقيلي الذي يتميز بهجرة الخلايا السرطانية من جزء من الجسم إلى آخر، يظهر عادة في مناطق العين كأورام تستقر في المشيمية. ومع ذلك، فإن مثل هذه الحوادث نادرة في حالات سرطان الرئة، حيث تمثل جزءًا صغيرًا يتراوح من 0.1٪ إلى 7٪.
ومن اللافت للنظر أن حالة المرأة ملفتة، ليس فقط بسبب عدم وجود تاريخ للتدخين، ولكن أيضًا لأن ضعف البصر ظهر كعرض أساسي لسرطان الرئة الخبيث، وهو سيناريو تم توثيقه في حوالي 60 حالة فقط في الأدبيات الطبية.
ويفترض الأطباء المعالجون أن هذه الحالة الفريدة يمكن أن تشير إلى نوع فرعي جديد من سرطان الرئة قادر على إحداث ورم خبيث سري، متهربًا من علامات الأعراض التقليدية. وتدعو ملاحظاتهم إلى زيادة اليقظة في تشخيص مثل هذه الحالات وعلاجها على الفور.
وتؤكد الطبيعة غير المسبوقة لهذه الحالة على ضرورة إجراء مزيد من الأبحاث لتحسين البروتوكولات التشخيصية والاستراتيجيات العلاجية؛ ما يضمن تحديد وإدارة العروض المماثلة في المستقبل.
