محمد الرخا - دبي - الأربعاء 26 يونيو 2024 02:26 مساءً - نجح الأطباء في علاج حالة نادرة لرجل نمساوي يبلغ من العمر 52 عامًا، بعد أن أقلع عن التدخين وخضع لإجراء طبي معقد.
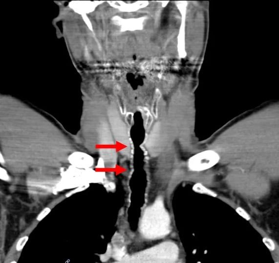
وبحسب صحيفة "ديلي ميل"، تم تشخيص الرجل بنمو الشعر داخل الرغامى؛ وهي حالة نادرة جدًّا ينمو فيها الشعر داخل الحلق، تسبب ازعاجًا شديدًا وسعالًا.
وأشار الأطباء إلى أن التدخين كان السبب الرئيس في تحفيز نمو الشعر في حلق الرجل، حيث سبب له التهابًا في الأنسجة الموجودة بالحلق؛ ما نتج عنه خلايا جذعية تحولت لاحقًا إلى بصيلات شعر.
وبحسب الأطباء كان الرجل، يدخن علبة سجائر كاملة كل يوم لمدة 30 عامًا، واشتكى عام 2007 من صوت أجش وصعوبة في التنفس وسعال مزمن.
نمو الشعر في حلق الرجل American Journal of Case Reports
وبعد إخضاعه للفحوصات، اكتشف الأطباء التهابًا ونمو شعر في حلقه، لتتم إزالة الشعر ومعالجته بالمضادات الحيوية.
ورغم إزالة الشعر، فإنه عاد للنمو مجددًا؛ ما اضطر الرجل إلى زيارة المستشفى سنويًّا لمدة 14 عامًا.

الشعر في حلق الرجل American Journal of Case Reports
ولتخليص الرجل من مشكلته الصحية، أجرى الأطباء مؤخرًا عملية لحرق خلايا الشعر في حلقه؛ ما منع نموها مجددًا، كما إنه أقلع عن التدخين، ومنذ ذلك الحين لم ينم أي شعر آخر في حلقه؛ ما أسهم في تعافيه بشكل كامل.
