نعرض لكم متابعينا الكرام أهم وأحدث الأخبار فى المقال الاتي: واقعة إهمال طبية مأساوية: مقص جراحي نُسي داخل جسد امرأة لمدة عامين المنشور في الخميس 16 يناير 2025 04:45 مساءً
إهمال طبي يثير القلق
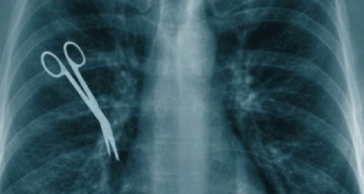
في واقعة إهمال طبية صادمة، اكتشفت كاملا باي، البالغة من العمر 44 عامًا، بعد عامين من إجرائها عملية جراحية لاستئصال سرطان المبيض، أن مقصًا جراحيًا نُسي داخل جسدها. هذا الاكتشاف الصادم كشف عن إهمال طبي فادح تعرضت له كاملا، حيث عاشت لفترة طويلة مع آلام شديدة في منطقة البطن رغم إجرائها الجراحة بنجاح. الأمر الذي دفعها لإجراء فحوصات طبية إضافية حتى تم اكتشاف الأداة الجراحية في جسمها عبر فحص التصوير المقطعي.
القرار القانوني: الدعوى القضائية ضد المستشفى
بعد أن تم اكتشاف المقص داخل جسدها، قررت كاملا وأسرتها اتخاذ إجراءات قانونية ضد الطبيب المعالج والمستشفى التي أُجريت فيها الجراحة. حيث رفعت الدعوى القضائية للمطالبة بتعويض عن الأضرار الجسدية والنفسية التي لحقت بها نتيجة لهذا الإهمال الطبي. تسعى كاملا وأسرتها للحصول على العدالة ومعرفة المسؤولين عن الحادثة وتقديمهم للمحاكمة، مما يثير تساؤلات كبيرة حول الإجراءات الطبية المتبعة في المستشفيات ومدى دقتها.
التحقيقات الطبية: تقرير شامل عن الحادثة
في رد فعلها على حادثة إهمال طبي غير مسبوق، أفادت إدارة المستشفى بأنها بصدد إعداد تقرير شامل يشرح تفاصيل الواقعة. ومن المتوقع أن يتم تقديم هذا التقرير إلى السلطات القانونية لاستكمال التحقيقات وتحديد المسؤولين عن الخطأ الطبي. هذه الحادثة تبرز أهمية تدقيق ومراجعة الأدوات الجراحية بعناية فائقة قبل وبعد العمليات لضمان سلامة المرضى.
المخاطر الصحية الناجمة عن ترك الأدوات الجراحية داخل الجسم
يعد ترك الأدوات الجراحية داخل جسم المريض أمرًا بالغ الخطورة، حيث يمكن أن يؤدي إلى مضاعفات صحية شديدة. من بين هذه المضاعفات النزيف الداخلي، العدوى، النخر، وفي الحالات المتقدمة قد تصل الأمور إلى الوفاة.
وفقًا للتقارير الطبية، يشكل وجود أداة حادة مثل المقص داخل الجسم تهديدًا حقيقيًا لحياة المريض، وهو ما عانت منه كاملا طوال فترة معاناتها من الألم المستمر جراء إهمال طبي غير مسبوق.
أمثلة على أخطاء طبية مشابهة
لم تكن حادثة كاملا هي الأولى من نوعها. ففي السنوات الماضية، شهدت بعض البلدان حوادث مشابهة أثارت استنكارًا واسعًا. في عام 2023، تم نسيان مقص جراحي داخل بطن سياسي برازيلي بعد عملية جراحية لاستئصال ورم في الأمعاء. كما حدثت في الولايات المتحدة حادثة كارولين بورستي في 2011، حيث تم خياطة إسفنجة عن طريق الخطأ في ساقها مما أدى إلى مضاعفات صحية استمرت لسنوات. هذه الحوادث تبرز الحاجة الماسة لتحسين طرق الفحص والمتابعة في العمليات الجراحية.
ضرورة اتخاذ إجراءات صارمة في الأنظمة الطبية
إن الحوادث المتكررة من هذا النوع خاصة ما يتعلق بإهمال طبي غير مستساغ، تستدعي ضرورة اتخاذ إجراءات صارمة لتحسين أنظمة العمل في المستشفيات. يجب أن تلتزم الفرق الطبية بأعلى معايير الدقة والاحترافية، خاصة في أثناء إجراء العمليات الجراحية. فحص الأدوات الجراحية بشكل دقيق قبل وأثناء وبعد العمليات هو أمر أساسي لضمان عدم نسيان أي أداة داخل جسم المريض، وهو ما يجب أن يصبح جزءًا من الممارسات الطبية الأساسية لضمان سلامة المرضى.
